Dental Implants
Applied Procedures:
Dental Implants
![]() |
![]() |
| Before Photo | After Photo |
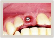
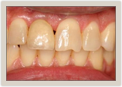
![]() |
![]() |
| Implant Placed | Crown Placement |
Dental Implants provide patients with an excellent option to replace missing teeth. Implants can be used to replace single teeth, or to help retain a partial or complete denture.
Applied Procedures:
Dental Implants
![]() |
![]() |
| Before Photo | After Photo |
All on 4 implant denture; A non-removable denture







